Lompat ke konten Lompat ke sidebar Lompat ke footer

Get Agglutinin Hemolytic Anemia PNG

Get Agglutinin Hemolytic Anemia PNG. The direct antiglobulin (direct coombs) test establishes the. The severity can range from compensated hemolysis without anemia to severe hemolytic anemia requiring transfusion 1,39.

PPT - Hemolytic Anemias - Extracorpuscular defects ...
PPT - Hemolytic Anemias - Extracorpuscular defects ... from image.slideserve.com
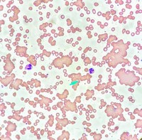
Hemolytic anemia is a form of anemia due to hemolysis, the abnormal breakdown of red blood cells (rbcs), either in the blood vessels (intravascular hemolysis) or elsewhere in the human body (extravascular). Some individuals have chronic compensated hemolytic anemia. Autoimmune hemolytic anemia is caused by autoantibodies that react with red blood cells at temperatures ≥ 37 ° c (warm antibody hemolytic anemia) or < 37 ° c (cold agglutinin disease).

It should be part of the differential diagnosis for any normocytic or macrocytic anemia.

Cold agglutinin disease (cad) is a rare autoimmune disease characterized by the presence of high concentrations of circulating cold sensitive antibodies, usually igm and autoantibodies that are also active at temperatures below 30 °c (86 °f). This association has not been previously documented in the literature. What every clinician needs to know. Extrinsic hemolytic anemia develops by several methods, such as when the spleen traps and destroys healthy red blood cells, or an autoimmune.

Posting Komentar untuk "Get Agglutinin Hemolytic Anemia PNG"